Atienden a hombre lesionado por manipulación de cartucho en la colonia Progreso

El hecho ocurrió durante la madrugada del 1 de enero; el lesionado sufrió una herida en el antebrazo izquierdo tras la detonación de un cartucho al interior de su domicilio.

HISTORIASMX. Cuauhtémoc, Chihuahua.— Durante la madrugada de este 1 de enero de 2026, elementos de la Dirección de Seguridad Pública Municipal atendieron el reporte de una persona lesionada en la colonia Progreso, luego de un incidente relacionado con la manipulación de cartuchos al interior de una vivienda.

Reporte de emergencia

El aviso se recibió alrededor de la 01:01 horas, indicando la presencia de una persona herida en el cruce de la calle Roma y la avenida 16 de Septiembre. Al arribar al sitio, los agentes se entrevistaron con un ciudadano de 36 años de edad, quien informó que había trasladado a su hermano, de 27 años, a recibir atención médica.

Lesión al interior del domicilio

De acuerdo con el testimonio recabado, el joven resultó lesionado en el antebrazo izquierdo luego de manipular cartuchos de salva dentro del domicilio. La información señala que el afectado golpeó dos cartuchos con un martillo, lo que provocó la detonación de uno de ellos y le ocasionó la herida.

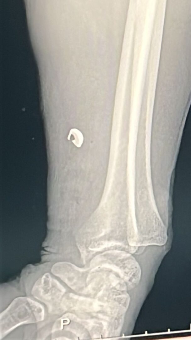
Valoración médica

Tras los estudios médicos correspondientes, se confirmó que la lesión fue provocada por un proyectil de arma de fuego, quedando un fragmento incrustado en el antebrazo del lesionado. El calibre del proyectil no pudo ser determinado por el personal médico.

Intervención de la Fiscalía

Debido a que el lesionado se encontraba bajo atención médica y presuntamente en estado de ebriedad, no fue posible obtener su declaración en ese momento. El hecho fue puesto a disposición de la Fiscalía de Distrito Zona Occidente, instancia que se encargará de las investigaciones correspondientes para esclarecer las circunstancias del incidente.

Llamado preventivo

Autoridades reiteraron el llamado a la ciudadanía a evitar la manipulación de cartuchos, armas o artefactos similares, ya que representan un alto riesgo para la integridad física, incluso cuando se trata de municiones consideradas de salva.

Volver arriba